1. 歯周病専門医による高度歯周病治療
当院の院長は日本歯周病学会認定の専門医で、軽度から重度まで対応可能です。
認定衛生士と連携し、治療後のアフターケアも充実しています。
中央ファーストデンタルクリニックでは、歯周病専門医であり、麻酔認定医でもある院長を中心に、
一般の歯科医院では対応できない歯周病治療・無痛治療を行っています。
当院で治療を開始した患者さんの他にも、
といった患者さんが多数来院されています。まずはお気軽にセカンドオピニオンにお越し下さい。
| 診療時間 | 月 | 火 | 水 | 木 | 金 | 土 | 日/祝 |
|---|---|---|---|---|---|---|---|
| 9:45〜13:30 | ◯ | ◯ | − | ◯ | ◯ | ◯ | − |
| 15:00〜18:45 | ◯ | ◯ | − | ◯ | ◯ | ◯ | − |
※ 水・日・祝日休診
〒104-0044
東京都中央区明石町5-19 横山ビル1F
(居留地通りを挟んで、聖路加国際病院の反対側にございます。)
築地駅・新富町駅 から徒歩3分

当院の院長は日本歯周病学会認定の専門医で、軽度から重度まで対応可能です。
認定衛生士と連携し、治療後のアフターケアも充実しています。

他院の治療に疑問や不安がある方は、当院でのセカンドオピニオンをご検討ください。
専門医による再検査・診断をもとに、新たな選択肢をご提案します。

静脈内鎮静法を用い、眠るような状態で治療が受けられます。
日本歯科麻酔学会認定医が担当し、安全性を確保しています。

うとうとしている間にインプラント治療が完了、術後も歯周病管理を徹底し長持ちするインプラントを提供します。

すべての診療室を個室とし、患者様のプライバシーを尊重しています。
手術専用の診療室も完備し、周囲を気にせずに治療が可能です。

マウスピース、インビザラインで矯正可能、iTeroを導入し歯形採取の負担も軽減。シミュレーションで安心の矯正をご提供します。
院長 医学博士 西村 紳二郎
〜 信頼できる歯科医師の条件 〜
それは、日々のたゆまぬ努力・研鑽に基づく「技術力」と、
医療人として、一人の人間として「倫理観・道徳観」を高めること、
この2つだと考えています。
また、スウェーデンの最新技術を踏まえ、歯周病専門医として、より多くの歯周病に悩む患者さんへ私の持っている全てを提供するとともに、次世代を担う若き歯科医師の育成をすることこそ、私の使命と思っています。


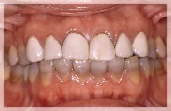
軽度歯周病の症状は歯ぐきの腫れ、歯磨き時の出血、若干の骨の減少があります。

歯周基本治療とプラークの除去(歯周外科処置)も合わせて治療を進めて行きます。

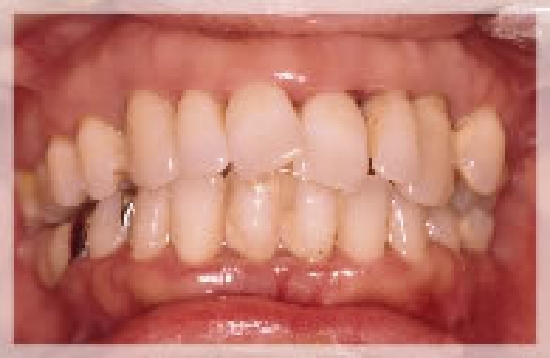
大きく骨が失われ歯がグラグラで、もはやしっかりと噛めません。早急な治療が必要です。
| 診療時間 | 月 | 火 | 水 | 木 | 金 | 土 | 日/祝 |
|---|---|---|---|---|---|---|---|
| 9:45〜13:30 | ◯ | ◯ | − | ◯ | ◯ | ◯ | − |
| 15:00〜18:45 | ◯ | ◯ | − | ◯ | ◯ | ◯ | − |
※ 水・日・祝日休診
〒104-0044
東京都中央区明石町5-19 横山ビル1F
(居留地通りを挟んで、聖路加国際病院の反対側にございます。)
築地駅・新富町駅 から徒歩3分